🏥 Notre département
Le département de Radiologie Interventionnelle de l'hôpital Cochin est l'un des plus importants d'Europe en termes d'activité clinique, de recherche et d'enseignement. Notre équipe réalise plus de 10 000 actes par an, sans aucun dépassement d'honoraires.
Notre plateau technique comprend un bloc opératoire dédié avec salles d'angiographie, un scanner interventionnel avec arceau robotisé, et des échographes haute gamme équipés de fusion IRM/scanner/cone-beam CT pour la précision maximale.
Le département est organisé autour de 3 pôles d'expertise :
- 🩺 Pôle Abdominal, Vasculaire et Féminin : embolisations (varices pelviennes, prostate, fibromes, varicocèle), oncologie hépatique, accès veineux
- 🦴 Pôle Ostéo-articulaire, Tumeurs et Douleur Chronique : ablation tumorale (sarcomes, tumeurs desmoïdes, gonarthrose), cimentoplastie, vissage percutané, neurolyse, algoradiologie, centre de référence sarcomes osseux et tissus mous, centre de référence tumeurs desmoïdes
- 🫁 Pôle Thoracique et Oncologique : ablation tumorale pulmonaire, oncologie thoracique
Nos expertises phares : techniques innovantes & différenciantes
Une spécialité transversale


🎯 Nos pôles d'excellence
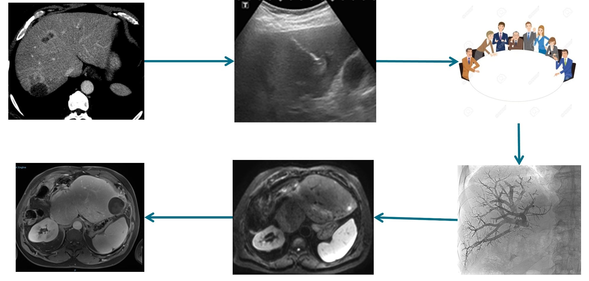
Centre Expert Cancers du Foie
RF, micro-ondes, IRE (lésions péri-biliaires/pancréatiques), TACE, Y90, chirurgie hépatique, transplantation.
Douleur Chronique & Algologie
Neurolyse, électrochimiothérapie, cimentoplastie, embolisation des tendinopathies, infiltrations écho-guidées.
Infertilité & Fertilité
Fibromes, varicocèle, endométriose, varices pelviennes. HSG Hôtel-Dieu. Lien PMA Port-Royal.
Vasculaire Périphérique
Angioplastie AOMI, artères rénales, recanalisation veineuse, thrombolyse, urgences vasculaires.
🎯 Nos expertises et centres de référence
Genou : gonarthrose inflammatoire
Embolisation de la synoviale. Alternative à l'infiltration, sans chirurgie. Résultats durables.
🩸Varices pelviennes / SCP
Syndrome de congestion pelvienne : cause sous-diagnostiquée de douleurs chroniques chez la femme.
🔵Varicocèle
Embolisation sans chirurgie. Amélioration des douleurs et de la fertilité masculine.
🦋Nodules thyroïdiens (RF)
Radiofréquence percutanée. Alternative à la chirurgie : pas de cicatrice, pas d'anesthésie générale.
Centre pionnier ❄️Endométriose pariétale
Cryoablation percutanée. Premier centre mondial. Efficacité démontrée, ambulatoire.
🔴Fibromes utérins
Embolisation artérielle utérine. Conservation de l'utérus, efficacité 80–90%.
Nouveau 🦶Névrome de Morton
Cryoablation percutanée guidée par imagerie. Alternative à la chirurgie et aux infiltrations répétées.
Centre de référence 🎯Tumeurs desmoïdes et sarcomes
Ablation tumorale. Centre de référence AP-HP pour les sarcomes osseux, des tissus mous et tumeurs desmoïdes.
Andrologie 💙Troubles de l'érection : fuite veineuse
Embolisation des veines péniennes pathologiques. Alternative à la chirurgie, ambulatoire.
Essai ouvert 🔬Participer à nos essais cliniques
Plusieurs essais ouverts aux patients : gonarthrose, endométriose, desmoïdes, hypnose.
📋 Toutes nos spécialités
Tumeurs du foie
Micro-ondes, RF, cryoablation. IRE (NanoKnife) pour les lésions péri-biliaires.
💉Chimio-embolisation (TACE)
CHC et métastases hépatiques : traitement de référence, zéro dépassement.
☢️Radio-embolisation TheraSphere® (Y90)
Radiothérapie interne sélective par microsphères d'yttrium-90.
🫘Tumeurs rénales
RF, micro-ondes, cryo : préserve la fonction rénale, ambulatoire.
🫁Tumeurs pulmonaires
RF ou cryoablation sous scanner. Biopsie simultanée possible.
🦴Tumeurs osseuses
Cryoablation. Contrôle antalgique remarquable des métastases osseuses.
🔧Embolisation pré-opératoire osseuse
Réduction du saignement avant chirurgie des tumeurs osseuses hypervascularisées.
🔩Vertébroplastie
Cimentoplastie des fractures vertébrales. Soulagement rapide des douleurs.
🔵Prostate : embolisation (HPB)
Réduction de l'adénome prostatique. Préserve la fonction sexuelle.
🚨Hémorragie post-partum
Embolisation utérine en urgence : conservation utérus 90% des cas.
🔬Biopsie percutanée
Foie, rein, poumon, médiastin, prostate, surrénale, os : toutes localisations.
💊PICC line
Cathéter veineux central périphérique. Chimiothérapie, nutrition, antibiothérapie.
⚙️Port-à-Cath
Chambre implantable : référence pour les traitements oncologiques intraveineux répétés.
🍽️Gastrostomie percutanée
Sonde d'alimentation sans chirurgie ni endoscopie.
🔄TIPS
Hypertension portale : ascite réfractaire, hémorragies digestives.
🧘Hypnose médicale
HypnoVR, hypnose ericksonienne : confort et sérénité lors de vos interventions.
👨⚕️ Notre équipe Cliquez sur un médecin pour voir son profil

Pr Anthony Dohan
Professeur des Universités : PH
Oncologie · Endométriose · Embolisation
Dr Raphaël Dautry
Praticien Hospitalier
Oncologie · Biopsies · Embolisation
Dr Maxime Barat
MCU-Praticien Hospitalier
Oncologie · IA · Foie
Pr Antoine Feydy
Professeur des Universités : PH
ostéo-articulaire · Imagerie diagnostique
Dr Wassef Khaled
Praticien Hospitalier
ostéo-articulaire · Sarcomes · Morton
Dr Marie Talabard
Chef de Clinique Assistante
Radiologie ostéo-articulaire ostéo-articulaireDr Thibault Jacquet
Praticien Hospitalier
Radiologie InterventionnelleDr Damien Parat
Chef de Clinique Assistant
RI oncologiqueDr Alexandre Lucas
Praticien Hospitalier
Vasculaire · EmbolisationDr Thomas Lefèvre
Chef de Clinique Assistant
Radiologie ostéo-articulaire ostéo-articulaireDr Hippolyte Monnier
Chef de Clinique Assistant
ostéo-articulaire · RI articulaire🗺️ Votre parcours patient
Adressage : Votre médecin ou spécialiste nous envoie un courrier ou une demande AP-HP.
Consultation pré-thérapeutique : Un radiologue vous reçoit pour expliquer le geste, vérifier les indications et répondre à vos questions.
L'intervention : En ambulatoire ou courte hospitalisation, sous anesthésie locale dans la grande majorité des cas. Hypnose disponible pour améliorer votre confort.
Suivi : Imagerie de contrôle et consultation de suivi selon votre protocole.
📋 Questionnaires pré-consultation : Préparez votre consultation en remplissant notre questionnaire adapté à votre pathologie : Varices pelviennes / SCP · Prostate (IPSS) · Recanalisation veineuse (Villalta)
▶️ Nos vidéos explicatives
Radiofréquence thyroïdienne
Questions fréquentes
Résultats et suivi
Pose de PICC line
🔬 Recherche & Essais cliniques
Notre département mène une recherche clinique active. Plusieurs essais sont actuellement ouverts aux patients (cryoablation de l'endométriose, embolisation gonarthrose, tumeurs desmoïdes, hypnosédation).
Voir les essais et publications →❓ Questions fréquentes
Ai-je besoin d'une ordonnance pour consulter ? +
Les interventions sont-elles douloureuses ? +
Combien de temps dure l'hospitalisation ? +
Y a-t-il des dépassements d'honoraires ? +
Comment prendre rendez-vous ? +
Puis-je être opéré si je suis sous anticoagulants ? +
Acceptez-vous les patients adressés de province ou de l'étranger ? +
⭐ Témoignages patients
« Après des années de douleurs pelviennes, l'embolisation a changé ma vie. L'équipe était exceptionnelle, à l'écoute et bienveillante. »
« Opéré de la prostate par embolisation, je retrouve une vie normale sans chirurgie. Merci à toute l'équipe du Pr Dohan. »
Votre expérience compte
Vous avez été pris en charge dans notre service ? Votre avis aide d'autres patients à nous faire confiance.
📍 Coordonnées
Adresse
Hôpital Cochin
Bâtiment Achard, 1er sous-sol
27 rue du Faubourg Saint-Jacques
75014 Paris
Contacts
📞 01 58 41 46 12
📞 01 58 41 24 76
📞 01 58 41 24 61
✉️ ri.cch@aphp.fr
Lun–Ven : 8h30 – 17h30
